Metabolic Psychiatry  ·  UPMC Pittsburgh

Robert
Raeder

Research Principal — Phillips Mood & Brain Lab

The brain is a metabolic organ.

I work in metabolic psychiatry. My focus is simple: understand how diet and metabolism change the brain, and use that to help people with serious psychiatric illness.

I'm a Research Principal at UPMC's Western Psychiatric Hospital in the Phillips Mood & Brain Lab, where I train under the mentorship of Professor Mary L. Phillips, MD, MD (Cantab). My work combines neuroimaging, metabolic, and behavioral measures to study how interventions like the ketogenic diet and exogenous ketones alter neurobiology and clinical trajectories across psychiatric disorders.

The goal is not novelty. It's to make psychiatry more mechanistic and less speculative — and to build tools that actually work for real people. Psychiatry should involve less guesswork and more biomarkers. Right now, I'm particularly interested in neuromelanin-sensitive MRI as a proxy marker for dopamine metabolism.

Visiting Scholar — University of Cambridge (Prof. Nicola Clayton FRS)
MSc — King's College London, IoPPN
MA — University of London
BS — Point Park University
BA — Point Park University
Robert Raeder

Pittsburgh, PA

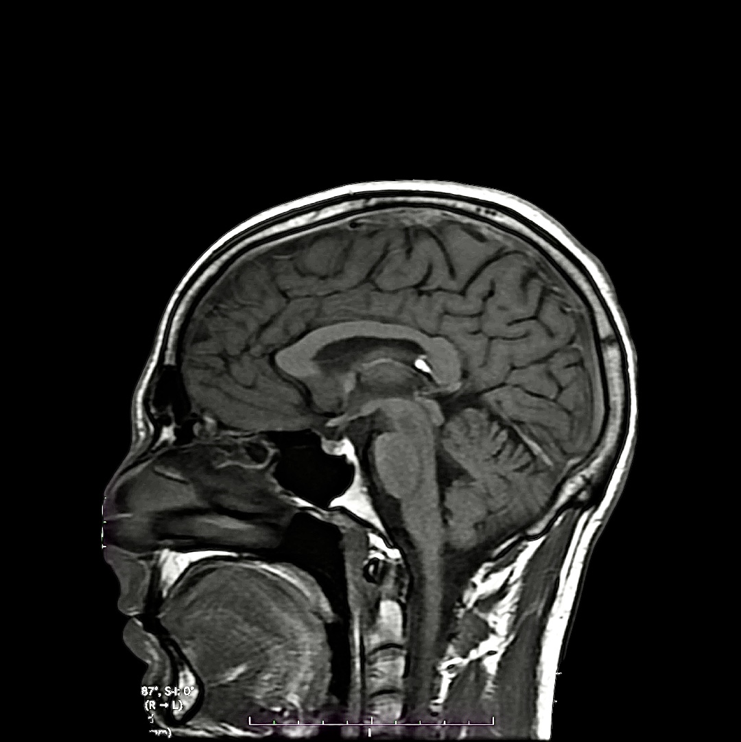
Neuromelanin-sensitive MRI

My brain — Pittsburgh, PA

The marathon
is fieldwork.

Running is hard. That's the point. Endurance running stresses metabolism, thermoregulation, and the brain at the same time. It does it fast, outdoors, and at scale.

I study marathon runners with Dr. Jeffrey Brown, the lead psychologist for the Boston Marathon. Building on his years of experience at the race, we developed and described a model of psychiatric care for marathon settings and started treating the marathon for what it is: a large, controlled stress test of human systems. We now have data showing that runners with psychiatric diagnoses show different marathon performance patterns and have distinct medical risks.

The short-term goal is practical. Predict and prevent medical encounters. The longer-term one connects back to my work in metabolic psychiatry. The marathon is a clean stress test of metabolism and brain function in a population that's usually only studied in clinics. It lets us ask how metabolic stress is tolerated, adapted to, and in many cases turned into something beneficial for mental health.

Running is the intervention. The data are the readout.

Pittsburgh half marathon
Pittsburgh Half Marathon Subject · No. 3324 · Pittsburgh, PA
127th Boston Marathon
127th Boston Marathon Medical Staff · Finish Line · Boston, MA
2026

New Paper in Molecular Psychiatry ↗

Identifies elevated pre-supplementary motor area (pre-SMA) activity during reward anticipation as a replicated neural marker of impulsivity linked to bipolar and externalizing risk — suggesting this vulnerability persists at the neural level even in the absence of behavioral expression.

2026

Pitt Psychiatry Interventional Psychiatry Showcase ↗

Presented on therapeutic ketosis and co-hosted a roundtable on the ketogenic diet for psychiatric disorders alongside Dr. Mary Phillips, MD (Cantab).

2024

Pitt Psychiatry Awarded $6M for Ketogenic Diet Study in Bipolar Disorder ↗

The Baszucki Group funded a new center for metabolic interventions, led by Dr. Mary Phillips, to study “Elucidating Neurobiological Mechanisms Underlying the Therapeutic Effect of the Ketogenic Diet in Bipolar Disorder: A Multidisciplinary Mechanistic Study.” Robert serves as Research Principal.